Новогодние каникулы – не время отдыхать

У жителей города были новогодние каникулы, а в больнице продолжались трудовые будни и напряженная экстренная круглосуточная работа.

У жителей города были новогодние каникулы, а в больнице продолжались трудовые будни и напряженная экстренная круглосуточная работа.

За прошедшие новогодние праздники с 1 по 8 января отделение рентгенхирургических методов диагностики и лечения успело пролечить 26 пациентов: инфаркты и инсульты – для сравнения в прошлом году было 19 пациентов.

Ишемический инсульт или инфаркт головного мозга — необратимое изменение вещества мозга, которое возникает в результате значительного снижения или полного прекращения мозгового кровоснабжения – одна из наиболее частых причин смерти и инвалидности во всем мире.

При внезапном проявлении неврологической симптоматики:
 ️внезапное нарушение зрения, двоение в глазах,
 проблемы с речью, чтением, пониманием сказанного,
 ️онемение конечностей, нарушение чувствительности тканей,
 ️головокружение, шум в ушах,
 невозможность совершать движения конечностями или некорректные движения,
следует незамедлительно обратиться за медицинской помощью!

В областной больнице проводится весь комплекс современных методик по хирургическому лечению острых нарушения мозгового кровообращения.

Эндоваскулярное (внутрисосудистое) лечение ишемического инсульта в острейшем периоде – эффективный и безопасный комплекс рентгенэндоваскулярных методов лечения, которые выполняются в пределах 6 часового терапевтического окна от начала симптомов ишемического инсульта. Лечение направлено на экстренное восстановление кровоток головного мозга путем устранения закупорки артерий головного мозга.

Хотим рассказать и показать клинический случай у такого социально значимого заболевания как Острый Ишемический Инсульт (ОНМК - острое нарушение мозгового кровообращения).

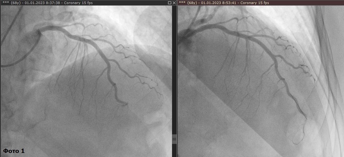
Пациент 68 лет. Поступил с диагнозом острый инфаркт миокарда 1 января 2023 года. Выяснилось, что в артерии сердца образовался или застрял тромб, в достаточно нетипичном месте. Артерия сердца была вылечена с помощью имплантации внутрисосудистого протеза (коронарного стента).

Фото 1: до лечения (окклюзия, закупорка дистальной, нижней трети крупного сосуда); после лечения (установлен стент, артерия запущена).



Позже уже находясь в отделении 7 января с ним случается Острый Ишемический Инсульт. При диагностике обнаружена закупорка крупной мозговой артерии. Эндоваскулярно (внутрисосудисто) был извлечен тромб из артерии с помощью специальных инструментов. Получен очень плотный тромб (сгусток крови).

Фото 2: до лечения (окклюзия, закупорка сосуда в головном мозге). анатомия сосудов головного мозга с другой стороны (разомкнутый Велизиев круг - нет обходных коллатеальных путей); после лечения (кровоток восстановлен).



На 3 фото можно увидеть тромб размером 1 см. из головного мозга, который стал причиной инсульта. Данный тромб не удалось бы растворить с помощью лекарств, можно было только механически извлечь с помощью эндоваскулярных (внутрисосудистых) методик.



На фоне нарушения ритма у пациента в сердце образовались тромбы, которые сначала улетели в сердце пациента - случился инфаркт, потом в сосуды головного мозга - случился инсульт.

Благодаря оперативной работе врачей отделения рентгенхирургических методов лечения, а также врачей анестезиологов, кардиологов и неврологов пациент получил спасительное, жизненно важное лечение. На данный момент пациент продолжает консервативное лечение.

Последние новости

Отельный этикет: что можно и чего нельзя делать в отеле

Как вести себя в гостинице, чтобы вас запомнили не как «того самого постояльца», а как идеального гостя

Кастомные зонты и погода настроения: как выделиться в сером городе

Почему зонт с индивидуальным дизайном — это не просто защита от дождя, а стильное заявление о себе

Цераксон и спорт: восстановление организма после травм

Разбираемся, как препарат помогает спортсменам быстрее восстанавливаться после травм, и в каких случаях он может стать ключевым элементом в реабилитации.

Потребительский кредит без боли: как не стать жертвой долговой ямы

Как взять кредит с умом и не пожалеть об этом спустя пару месяцев

Здесь вы можете узнать о лучших предложениях и выгодных условиях, чтобы купить квартиру в Набережных Челнах

Комментарии (0)

Добавить комментарий

Ваш email не публикуется. Обязательные поля отмечены *