Лечение сложных поражений сосудов сердца в отделении рентгенхирургических методов диагностики и лечения МОКБ им. П.А. Баяндина

Сердечно-сосудистые заболевания по-прежнему занимают лидирующие позиции среди причин смертности во всем мире.

Сердечно-сосудистые заболевания по-прежнему занимают лидирующие позиции среди причин смертности во всем мире. В значительной степени сердечно-сосудистая смертность обусловлена ишемической болезнью сердца, несмотря на достигнутый прогресс в лечении этой категории больных.  

В настоящее время отмечается широкое внедрение в клиническую практику методов эндоваскулярного лечения пациентов как с острым коронарным синдромом/острым инфарктом миокарада, так и со стабильной формой ишемической болезни сердца, которая нередко обусловлена формированием хронического окклюзирующего поражения коронарных артерий. 

Хронической окклюзией коронарной артерии считается отсутствие прямого (антеградного) кровотока по коронарной артерии продолжительностью не менее трех месяцев на основании клинических данных или результатов предшествующей коронарографии. 

Чрескожные коронарные вмешательства на хронических окклюзиях коронарных артерий у больных ишемической болезнью сердца представляют из себя одну из наиболее технически трудных областей для эндоваскулярных хирургов. 

Клинический опыт показывает, что сложные хронические окклюзии корорнарных артерий требуют большего времени, количества расходного материала, контрастного вещества, а также применения более комплексных стратегий реканализации, таких как ретроградный подход или субинтимальная реканализации с последующим возвратом в истинное русло. 

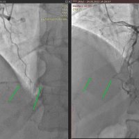
Клинический случай ретроградной реканализации окклюзии коронарной артерии

Пациент 45 лет (молодой возраст). На коронарографии – нет кровотока по крупному сосуду артерии сердца (хроническая окклюзия), сектор кровоснабжения артерии очень большой. Остальные артерии сохранены. Клинические проявления стерты, организм временно компенсировал потерю крупного сосуда. Необходимо открывать крупный сосуд сердца, что влияет непосредственно последующую выживаемость и качество жизни. 

Открытая операция не показана, современное эндоваскулярное лечение является основным. На базе МОКБ им. П.А. Баяндина занимаются эндоваскулярным лечением ишемической болезни сердца с 1994 года, а лечением острого инфаркта миокарда с 2000 года.

Пациенту проведена операция через правую лучевую артерию, выполнена попытка прямого (антеградного) восстановления закрытого сосуда, не успешная. Инструменты не могут пробить жесткую бляшку и восстановить проходимость.

Поэтому через левую лучевую артерию выполнен обратный (ретроградный) путь к закрытой артерии с использованием обходных (коллатеральных) сосудов, которые сформировались компенсаторно. Инструменты проведены слева направо, через все сердце, чтобы добраться к закрытому сосуду с обратной стороны. Попытка восстановления выполнена успешна. 

Таким образом удалось восстановить просвет закрытой артерии. Далее установлен стент (металлический каркас) с лекарственным покрытием, который будет поддерживать просвет артерии в раскрытом состоянии и запустить прямой (антеградный) кровоток к большому объему сердечной мышцы (миокарду).

 

***

За 2022 год отделением рентгенхирургических методов лечения и диагностики МОКБ им. П.А. Баяндина было установлено 1620 коронарных стентов у 1449 пациентов при хронической ишемической болезни и остром коронарном синдроме. 

Среди них у 58 пациентов были успешно восстановлены сосуды сердца при хронических окклюзиях антеградным методом. 

Данная сложная методика ретроградного доступа к окклюзии артерий сердца была впервые успешно применена на базе Мурманской областной клинической больнице им. П.А. Баяндина. Ретроградная реканализация позволяет расширить возможности эндоваскулярной хирургии при самых сложных операциях на сосудах сердца. 

Высоко квалифицированный персонал и современные технологии отделения рентгенхирургических методов диагностики и лечения МОКБ им.П.А. Баяднина позволяют смело смотреть в будущее медицины Мурманска и Мурманской области.

Последние новости

Отельный этикет: что можно и чего нельзя делать в отеле

Как вести себя в гостинице, чтобы вас запомнили не как «того самого постояльца», а как идеального гостя

Кастомные зонты и погода настроения: как выделиться в сером городе

Почему зонт с индивидуальным дизайном — это не просто защита от дождя, а стильное заявление о себе

Цераксон и спорт: восстановление организма после травм

Разбираемся, как препарат помогает спортсменам быстрее восстанавливаться после травм, и в каких случаях он может стать ключевым элементом в реабилитации.

Герои‑невидимки: 10 мест, где вы сталкиваетесь со стойками СОН ежедневно

Железобетонные стойки СОН окружают нас повсюду — даже если мы не знаем, что это они

На этом сайте вы сможете узнать актуальные данные о погоде в Зеленогорске, включая прогнозы на ближайшие дни и часы

Комментарии (0)

Добавить комментарий

Ваш email не публикуется. Обязательные поля отмечены *